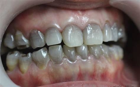
很多人看到牙齒變黑,第一反應就是蛀牙。其實,牙齒變色可能由多種因素引起,以下就由維港口腔為你介紹常見原因及對應處理方法。
長期飲用咖啡、茶、可樂等深色飲品,或經常抽煙、嚼檳榔,色素會逐漸附著在牙齒表面,形成深褐色或黑色斑點。此外,口腔衛生不佳導致牙菌斑、牙結石堆積,也會讓牙齒看起來髒污暗沉。這種情況通常可逆,透過洗牙(超音波潔牙)或噴砂即可清除色素,恢復牙齒潔白。
牙齒受外力撞擊或深層蛀牙未及時治療,可能導致牙髓組織壞死。壞死的牙髓會釋放鐵離子與硫化物,形成黑色硫化亞鐵,使牙齒逐漸變灰、變暗。此時需進行根管治療清除壞死組織,若影響美觀,可考慮根管內漂白或瓷貼面修復。
1. 四環素牙:兒童時期服用四環素類藥物,藥物會與牙本質結合,導致牙齒呈黃褐色或灰黑色,嚴重時甚至出現條狀或網狀色斑。
2. 氟斑牙:幼年期飲用含氟量過高的水,會造成牙釉質發育不全,牙面出現白堊色、黃褐色或黑色斑塊,嚴重者牙釉質會出現蜂窩狀缺損。輕度氟斑牙可透過微研磨或漂白改善,重度則需瓷貼面或全瓷冠修復。

1. 根管填充材料:部分銀汞合金或深色填充材料可能滲透至牙本質小管,導致牙齒變色。
2. 年齡增長:隨著年齡增加,牙釉質磨損,牙本質逐漸暴露,牙齒可能自然變黃或暗沉。
1. 保持口腔衛生:每天早晚用巴氏刷牙法刷牙,配合牙線清潔縫隙,定期洗牙(每一年一次)。
2. 減少染色行為:飲用深色飲品後盡快漱口,避免長期抽煙或嚼檳榔。
3. 及早就醫:若牙齒變黑伴隨牙痛、牙齦腫脹,或懷疑與藥物、發育因素有關,通過維港口腔官方網站或電話:+852 69326599;+86 13266962280提前預約,盡速來維港口腔就診,由專業醫師判斷原因並對症治療。
維港口腔小提醒:牙齒變色切勿自行使用偏方(如醋洗牙),以免損傷牙釉質。早期發現、正確處理,才能維持牙齒健康與美觀!
推薦閱讀: