好多人擦牙時會發現牙齦出血,或者係照鏡子時察覺牙縫變大,其實這些都可能是牙齦萎縮的表現,那麼出現牙齦萎縮該怎麼辦呢?接下來維港口腔牙醫為您講解。

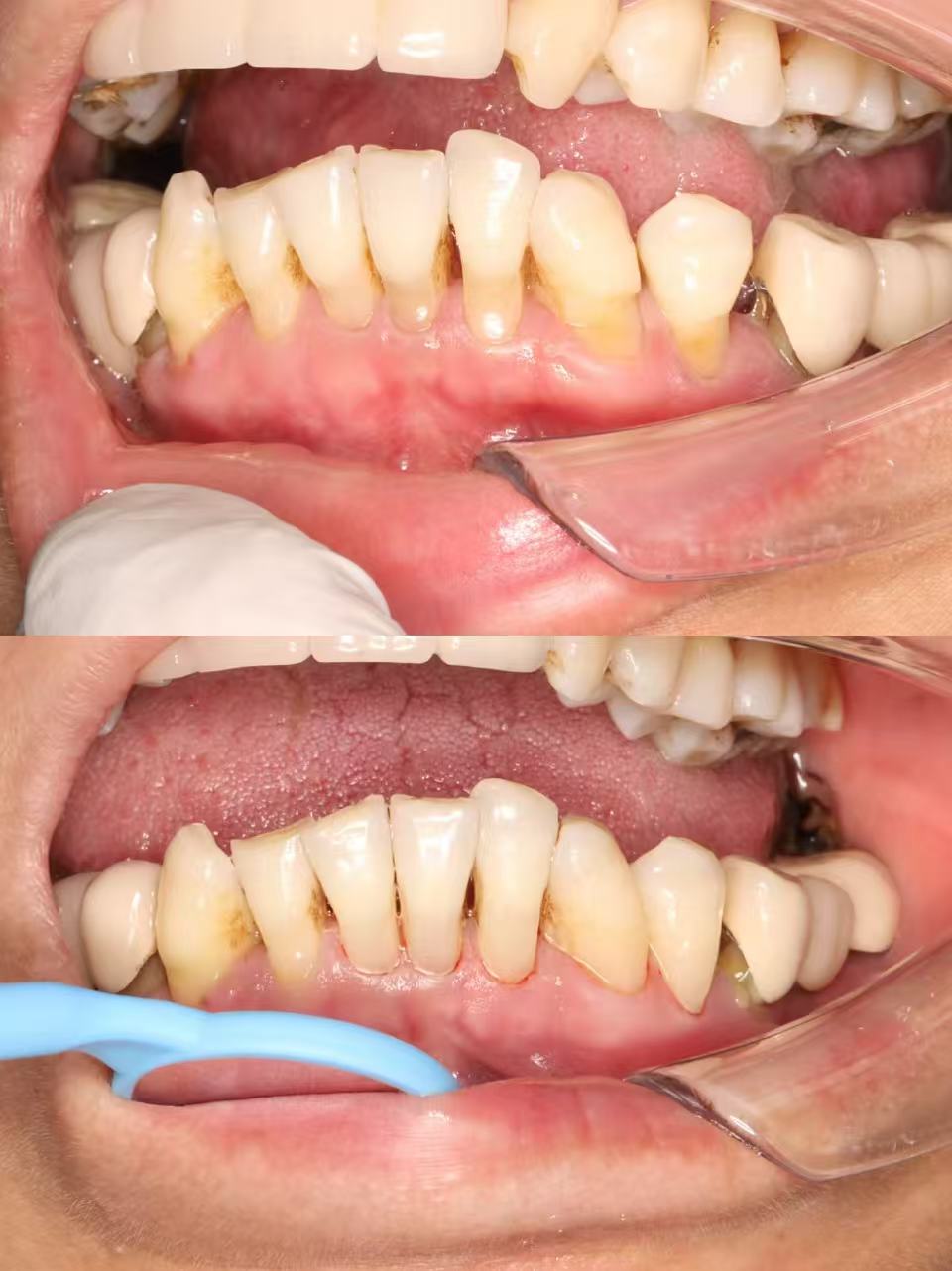
牙齦萎縮的常見原因主要分為兩大類,一個是機械性刺激,比如長期使用硬毛牙刷、採用錯誤的橫向刷牙方式,或者是刷牙力度過大,這些都會直接損傷牙齦組織,導致牙齦逐漸退縮。其次就是牙周病引發的牙齦萎縮,牙菌斑、牙結石長期堆積會引發慢性炎症,破壞牙周膜導致牙槽骨吸收,進而逐步發展為牙齦萎縮。
如果是因為不良刷牙習慣導致的牙齦萎縮,可以更換軟毛牙刷,採用巴氏刷牙法,搭配牙線、沖牙器等輔助工具清潔牙縫殘渣,避免用牙線粗暴剔牙,同時定期進行洗牙,清除牙菌斑和牙結石,暴力刷牙造成的楔狀缺損還可通過補牙的方式來改善。如果是牙周病引起的牙齦萎縮,則需要進行專業的牙周治療,徹底清除牙周深層的刺激物,消除炎症。
作為深耕粵港澳大灣區多年的連鎖牙科品牌,維港口腔擁有經驗豐富的牙周診療專家團隊,配備先進的數位化診療設備,穩定經營第十七年,是一家專門的口腔醫療單位,致力於口腔健康的預防、修復和整治,多次舉辦社區公益,門診擁有出色的診療技術和現代化的醫療設備,不斷提升口腔醫師的專業技能和服務,多年來贏得港澳地區患者的好評,提前預約還可以享免費影CT和諮詢服務,歡迎諮詢我哋客服:
電話:+852 6932 6599(香港)/+86 132 6696 2280(深圳)
推薦閱讀:深圳牙科價格表