牙齦萎縮怎麼辦?深圳睇牙邊間好?

维港口腔连锁 牙齦萎縮怎麼辦?深圳睇牙邊間好?

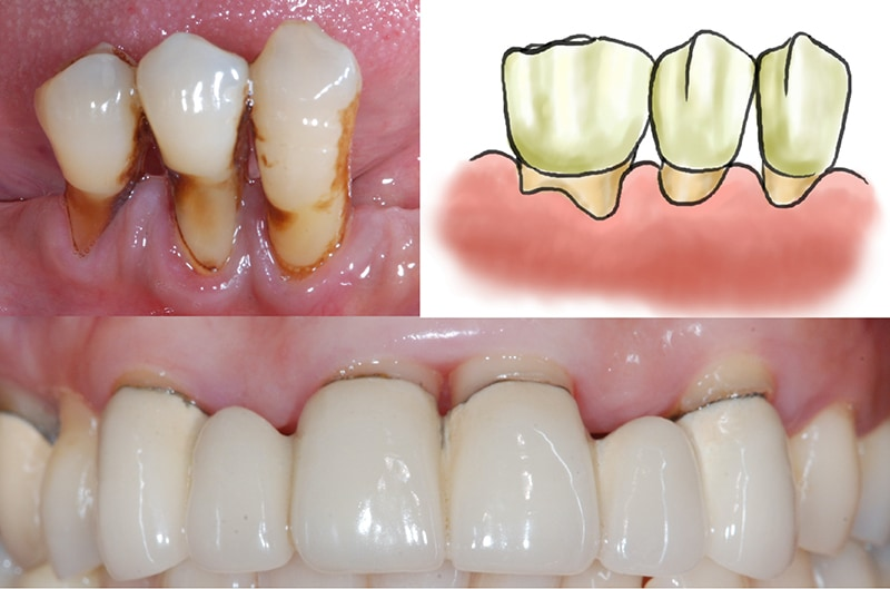
好多人擦牙時會發現牙齦出血,或者係照鏡子時察覺牙縫變大,其實這些都可能是牙齦萎縮的表現,那麼出現牙齦...[詳細]

牙周病如何治療?北上睇牙邊間好?

维港口腔连锁 牙周病如何治療?北上睇牙邊間好?

刷牙出血、牙齦紅腫、牙齒鬆動,不少人都曾被這些問題困擾,殊不知這可能是牙周炎的信號。牙周炎會悄悄侵蝕...[詳細]

深圳牙周治療價錢?牙周病治療好後會復發嗎?

维港口腔连锁 深圳牙周治療價錢?牙周病治療好後會復發嗎?

深圳牙周治療必知:價錢與復發問題解析據調查,我國90%以上成年人存在不同程度牙周問題,牙龈出血、口臭...[詳細]

牙齦萎縮就係牙周病嗎?牙齒有牙周病係咩樣嘅症狀?

维港口腔连锁 牙齦萎縮就係牙周病嗎?牙齒有牙周病係咩樣嘅症狀?

牙齦萎縮就係牙周病嗎?牙齒有牙周病係咩樣嘅症狀?深圳本地維港口腔牙醫話你知:牙齦萎縮就係牙周病嗎?唔...[詳細]

深圳牙周治療價錢?EMS牙周治療有什麼不同嗎?

维港口腔连锁 深圳牙周治療價錢?EMS牙周治療有什麼不同嗎?

牙周病是常見口腔隱憂,若放任不管,可能損害牙齒與周圍組織健康。在深圳維港口腔連鎖,牙周治療方案會依病...[詳細]

深圳牙周治療價錢?牙周病能治愈嗎?

维港口腔连锁 深圳牙周治療價錢?牙周病能治愈嗎?

一、維港口腔牙周治療價格明細牙周治療費用依病情程度與技術類型差異明確,一個療程含 3 次治療:常規牙...[詳細]

牙周病初期係點樣嘅?深圳牙科治療牙周病幾錢?

维港口腔连锁 牙周病初期係點樣嘅?深圳牙科治療牙周病幾錢?

牙周病初期係點樣嘅?深圳牙科治療牙周病幾錢?深圳維港口腔牙醫話你知:牙周病初期的表現往往比較隱匿,最...[詳細]

深圳治療牙周病邊間牙科好?牙周治療包括什麼?

维港口腔连锁 深圳治療牙周病邊間牙科好?牙周治療包括什麼?

深圳治療牙周病,首選維港口腔連鎖 維港口腔作為大灣區三大香港牙科品牌之一,更是唯一有大學合作背景的香...[詳細]

深圳牙周病收費?如何自測輕中重度牙周病?

维港口腔连锁 深圳牙周病收費?如何自測輕中重度牙周病?

根據調查,中國超過 90% 成年人有不同程度的牙周問題,嚴重時不僅會導致牙齒鬆動脫落,還可能增加糖尿...[詳細]

深圳牙周治療幾多錢?有什麼注意事項?

维港口腔连锁 深圳牙周治療幾多錢?有什麼注意事項?

一、牙周治療費用怎麼算? 牙周治療費用取決於病情嚴重程度,維港口腔採用全口一個療程3次的標準方案: ...[詳細]

温馨提示: 牙科問題歡迎電話諮詢+852 6932 6599(香港)、+132 6696 2280(深圳),提前預約、避免排隊、免專家掛號費、享受牙科診療最新折扣優惠。
維港口腔,立足深圳羅湖、深圳福田、珠海,為粵港澳市民提供專業的牙科服務。