為什麼要定期進行口腔檢查?

维港口腔连锁 為什麼要定期進行口腔檢查?

為什麼要定期進行口腔檢查?[詳細]

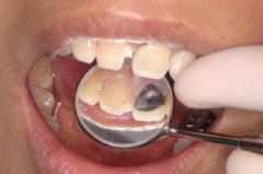
怎樣判斷患有齲齒?

维港口腔连锁 怎樣判斷患有齲齒?

怎樣判斷患有齲齒?[詳細]

齲齒的分類有哪些?

维港口腔连锁 齲齒的分類有哪些?

齲齒的分類有哪些?[詳細]

什麼是齲齒?它是怎樣產生的?

维港口腔连锁 什麼是齲齒?它是怎樣產生的?

什麼是齲齒?它是怎樣產生的?[詳細]

如何保護六齡齒?

维港口腔连锁 如何保護六齡齒?

如何保護六齡齒?[詳細]

兒童看牙,家長應做好哪些事情?

维港口腔连锁 兒童看牙,家長應做好哪些事情?

兒童看牙,家長應做好哪些事情?[詳細]

替牙期兒童為何容易患齲齒?

维港口腔连锁 替牙期兒童為何容易患齲齒?

替牙期兒童為何容易患齲齒?[詳細]

什麼是乳牙根管治療?

维港口腔连锁 什麼是乳牙根管治療?

什麼是乳牙根管治療?[詳細]

齲齒的常規治療方法有哪些?

维港口腔连锁 齲齒的常規治療方法有哪些?

齲齒的常規治療方法有哪些?[詳細]

兒童“蛀牙"為什麼要做治療?

维港口腔连锁 兒童“蛀牙"為什麼要做治療?

兒童“蛀牙"為什麼要做治療?[詳細]

温馨提示: 牙科問題歡迎電話諮詢+852 6932 6599(香港)、+132 6696 2280(深圳),提前預約、避免排隊、免專家掛號費、享受牙科診療最新折扣優惠。
維港口腔,立足深圳羅湖、深圳福田、珠海,為粵港澳市民提供專業的牙科服務。